ಹೆಲ್ತ್ ಟಿಪ್ಸ್
-
ಆರೋಗ್ಯ ದಿನದಲ್ಲಿ ಯಾವಾಗ ಖರ್ಜೂರ ತಿನ್ನಬೇಕು?
Dates health benefits: ಖರ್ಜೂರ ತಿನ್ನುವುದರಿಂದ ಆರೋಗ್ಯಕ್ಕೆ ಎಷ್ಟೆಲ್ಲಾ ಪ್ರಯೋಜನಗಳಿವೆ ಗೊತ್ತೇ? ಅದರಲ್ಲೂ ಈ ಮಳೆಗಾಲದ ಸಮಯದಲ್ಲಿ ಖರ್ಜೂರ ತಿಂದರೆ ಸಾಕಷ್ಟು ಆರೋಗ್ಯಕರ...
-
ಹೋಮ್ ʼಬೊಜ್ಜುʼ ಕರಗಿಸುವ ಆಹಾರಗಳು ಯಾವುದು ಗೊತ್ತಾ...?
ಆರೋಗ್ಯಕರ ಕೊಬ್ಬು, ಪ್ರೊಟೀನ್ ಮತ್ತು ಕಾರ್ಬೋಹೈಡ್ರೇಟ್ ಸೇವನೆಯಿಂದ ಹೊಟ್ಟೆಯ ಬೊಜ್ಜನ್ನು ಗಣನೀಯ ಪ್ರಮಾಣದಲ್ಲಿ ಕಡಿಮೆಗೊಳಿಸಬಹುದು ಎಂದು...
-
ಹೋಮ್ ದಿನಕ್ಕೊಂದು ʼವಾಲ್ ನಟ್ʼ ತಿಂದರೆ ಎಷ್ಟೆಲ್ಲಾ ಲಾಭವಿದೆ ಗೊತ್ತೇ..?
ಈಗಿನ ಕಾಲದಲ್ಲಿ ಯಾವುದೇ ಆಹಾರವು ನಮಗೆ ಪರಿಪೂರ್ಣವಾದ ಶಕ್ತಿಯನ್ನು ಕೊಡುವುದಿಲ್ಲ. ಹಾಗಾಗಿ ಪ್ರತಿನಿತ್ಯ ಡ್ರೈ ಪುಟ್ಸ್ ಗಳ ಸೇವನೆ...
-
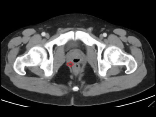
ಆರೋಗ್ಯ ಫಿಸ್ತುಲಾ ತಂದಿಟ್ಟಿದೆ ತೀವ್ರ ಫಜೀತಿ..!
ಯುರೇತ್ರಾ ಹಾಗೂ ಗುದದ್ವಾರಗಳ ನಡುವೆ ಅಸಹಜವಾದ ಸುರಂಗವಿರುವ ಕಾರಣ 33 ವರ್ಷದ ವ್ಯಕ್ತಿಯೊಬ್ಬರು ತಮ್ಮ ಶಿಶ್ನದಿಂದ ಮಲ ವಿಸರ್ಜನೆ ಮಾಡಿದರೆ, ಗುದದ್ವಾರದಿಂದ...
-
ಆರೋಗ್ಯ ಮಳೆಗಾಲದಲ್ಲಿ ಸೇವಿಸಿ ಈ ತುಳಸಿ ಕಷಾಯ
ಇಂದು ತುಳಸಿ-ಅರಿಶಿಣದ ಕಷಾಯವನ್ನು ನಾವು ನಿಮಗಾಗಿ ತಂದಿದ್ದೇವೆ, ಅದರ ಸಹಾಯದಿಂದ ನೀವು ರೋಗನಿರೋಧಕ ಶಕ್ತಿಯನ್ನು ಬಲಪಡಿಸುತ್ತದೆ. ವಾಸ್ತವವಾಗಿ, ಮಳೆಗಾಲದಲ್ಲಿ...
-
ಹೋಮ್ ಆರೋಗ್ಯಕ್ಕಿಂತ ಅನಾರೋಗ್ಯಕ್ಕೆ ಕಾರಣವಾಗುತ್ತೆ ಈ ಬಾಳೆ ಹಣ್ಣು
ಬಾಳೆ ಹಣ್ಣು ಆರೋಗ್ಯಕ್ಕೆ ಒಳ್ಳೆಯದು. ಬಾಳೆ ಹಣ್ಣಿನಲ್ಲಿ ಸಾಕಷ್ಟು ಪೋಷಕಾಂಶವಿದೆ. ಆದ್ರೆ ಬಾಳೆ ಹಣ್ಣು ಸೇವನೆ ಮಾಡುವಾಗ ಕೆಲವೊಂದು...
-
ಆರೋಗ್ಯ ಗರ್ಭಿಣಿಗೆ ಮಧುಮೇಹ ಇದ್ದಲ್ಲಿ ಗರ್ಭದಲ್ಲಿರುವ ಭ್ರೂಣಕ್ಕೆ ಅಪಾಯ ಕಟ್ಟಿಟ್ಟ ಬುತ್ತಿ
ತಾಯಿಯ ಮಧುಮೇಹವು ಇನ್ಸುಲಿನ್ ಮೂಲಕ ನಿಯಂತ್ರಣದಲ್ಲಿದ್ದರೂ, ರಕ್ತದಲ್ಲಿನ ಸಕ್ಕರೆ ಮಟ್ಟವನ್ನು ಬಹುತೇಕ...
-
ಆರೋಗ್ಯ ಆರೋಗ್ಯಕರ ಹೃದಯಕ್ಕಾಗಿ ಈ ಆಹಾರಗಳನ್ನು ನಿತ್ಯ ಸೇವಿಸಿ
ನವದೆಹಲಿ : ಕೆಟ್ಟ ಜೀವನಶೈಲಿ, ಒತ್ತಡ ಮತ್ತು ಅನಾರೋಗ್ಯಕರ ಆಹಾರವು ಹೃದಯದ ಸಮಸ್ಯೆಗೆ ಕಾರಣವಾಗುತ್ತದೆ. ಹೃದಯವನ್ನು ಆರೋಗ್ಯವಾಗಿರಿಸುವುದು ಬಹಳ...
-
ಹೋಮ್ ಆರೋಗ್ಯಕ್ಕಾಗಿ ಉತ್ತಮ ಈ ಸೂಪರ್ ಫುಡ್
ಉತ್ತಮ ಆರೋಗ್ಯವನ್ನು ಪ್ರತಿಯೊಬ್ಬರೂ ಬಯಸ್ತಾರೆ. ಅದಕ್ಕಾಗಿ ವ್ಯಾಯಾಮ, ಯೋಗ ಸೇರಿದಂತೆ ಅನೇಕ ಕಸರತ್ತುಗಳನ್ನು ಮಾಡ್ತಾರೆ. ವ್ಯಾಯಾಮ ಮಾಡಿದ್ರೆ ಸಾಲದು ಅದ್ರ ಜೊತೆ...
-
ಹೋಮ್ ʼಫಾಸ್ಟ್ ಫುಡ್ʼ ತಿನ್ನೋ ಹುಡುಗಿಯರು ಓದಲೇಬೇಕಾದ ಸುದ್ದಿ..!
ಫಾಸ್ಟ್ ಫುಡ್ ಅಂದ್ರೆ ಯಾರಿಗೆ ಇಷ್ಟ ಇಲ್ಲ. ಪಾಸ್ತಾ, ಪಿಜ್ಜಾ, ಬರ್ಗರ್, ನೂಡಲ್ಸ್ ಹೆಸರು ಹೇಳಿದ್ರೆ ಬಾಯಲ್ಲಿ ನೀರು ಬರುತ್ತೆ ಅನ್ನೋರು...
Loading...







