ಯುರೇತ್ರಾ ಹಾಗೂ ಗುದದ್ವಾರಗಳ ನಡುವೆ ಅಸಹಜವಾದ ಸುರಂಗವಿರುವ ಕಾರಣ 33 ವರ್ಷದ ವ್ಯಕ್ತಿಯೊಬ್ಬರು ತಮ್ಮ ಶಿಶ್ನದಿಂದ ಮಲ ವಿಸರ್ಜನೆ ಮಾಡಿದರೆ, ಗುದದ್ವಾರದಿಂದ ಮೂತ್ರ ಹೊರಹಾಕುತ್ತಿದ್ದಾರೆ.
ಈ ಅಸಹಜ ಬೆಳವಣಿಗೆಯನ್ನು ಎರಡು ವರ್ಷಗಳ ಕಾಲ ಗಮನಿಸಿದ ಈತ, ವೃಷಣಗಳಲ್ಲಿ ತೀವ್ರ ನೋವು ಕಾಣಿಸಿಕೊಂಡ ಬಳಿಕ ವೈದ್ಯರನ್ನು ಸಂಪರ್ಕಿಸಿದ್ದಾರೆ.
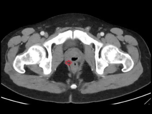
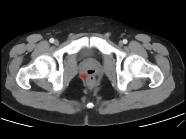
ಸಿಟಿ ಸ್ಕ್ಯಾನ್ ಮಾಡಿದಾಗ 'ಫಿಸ್ತುಲಾ' ಎಂಬ ಅನಿಲಭರಿತ ರಚನೆಯೊಂದು ಕಾಣಿಸಿಕೊಂಡಿದೆ. ಯುರೇತ್ರಾ ಹಾಗೂ ಗುದದ್ವಾರಗಳ ನಡುವೆ ಕಂಡುಬರುವ ಅಸಹಜ ನಾಳ ಈ ಫಿಸ್ತುಲಾ.
ಎರಡು ವರ್ಷಗಳ ಹಿಂದೆ ತೀವ್ರವಾದ ಕೊಕೇನ್ ಹಾಗೂ ಫೆನ್ಸಿಕ್ಲಿಡೀನ್ ಚಟದ ಕಾರಣ ಕೋಮಾ ತಲುಪಿದ್ದ ಈತನಿಗೆ ಆ ಸಂದರ್ಭದಲ್ಲಿ ಈ ಅಸಹಜ ಬೆಳವಣಿಗೆಗಳು ಕಂಡುಬರಲಾರಂಭಿಸಿವೆ.
ಮೂತ್ರ ವಿಸರ್ಜನೆಗೆ ಅನುವಾಗಲೆಂದು ಆ ವೇಳೆಯಲ್ಲಿ ಈತನಿಗೆ ಫೋಲೆ ಕ್ಯಾಥೆಟರ್ಅನ್ನು ಅಳವಡಿಸಲಾಗಿತ್ತು.
ಫಿಸ್ತುಲಾವನ್ನು ಮುಚ್ಚಿ ಹಾಕಲು ವಿಶೇಷ ಸರ್ಜರಿ ಮಾಡಿರುವ ವೈದ್ಯರು ಸದ್ಯಕ್ಕೆ ಈತನ ಬಾಧೆಗೊಂದು ಬ್ರೇಕ್ ಹಾಕಿದ್ದಾರೆ.

